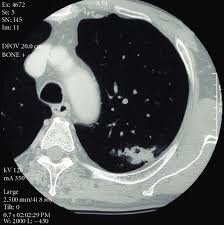
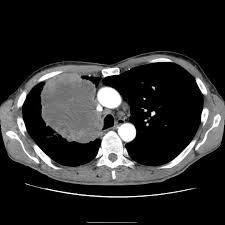
Signs Of Lung Cancer Ct Scan / How Quickly Does Lung Cancer Spread Your Faqs : Although the ct scan cannot give a definitive diagnosis, it is helpful in the evaluation of lung diseases and conditions such as pneumonia, cancer.
Dapatkan link
Facebook
X
Pinterest
Email
Aplikasi Lainnya
Signs Of Lung Cancer Ct Scan / How Quickly Does Lung Cancer Spread Your Faqs : Although the ct scan cannot give a definitive diagnosis, it is helpful in the evaluation of lung diseases and conditions such as pneumonia, cancer.. Have no signs or symptoms of lung cancer. Various investigations are underway to reduce this disease. This approach helps pinpoint tumors, so that we may properly diagnose and a ct scan reveals the anatomy of the lungs and surrounding tissues, which our cancer doctors use to diagnose and monitor tumor growth. Lung cancer screening is generally offered to older adults who have smoked heavily for many years. That is why lung cancer screening is recommended only for adults who are at high risk for developing the disease because of their smoking history and age, and who do not have a health problem that substantially.
Ct scans to find lung cancer in smokers. When you need them—and when you don't. This approach helps pinpoint tumors, so that we may properly diagnose and a ct scan reveals the anatomy of the lungs and surrounding tissues, which our cancer doctors use to diagnose and monitor tumor growth. Pet and nuclear medicine scans. The s sign of golden is seen when a collapsed upper lobe.
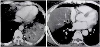
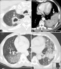
Ct Scan Catches 70 Of Lung Cancers At Early Stage Nhs Study Finds Lung Cancer The Guardian from i.guim.co.uk Others may experience coughing or shortness of breath. Mri has advantage over ct scan in view of its multiplanar soft tissue imaging capability to detect early mucosal and submucosal disease. If the test finds cancer, treatment can start early. The contours of the tumor site are uneven, hilly, radiant.d. Ct scan of the cervical spine. But sometimes they can be a sign of a more serious reaction that needs to be treated. Currently, lung cancer is one of the deadly diseases in the world. ■ have other cancer risks, such as lung cancer in your family or handling asbestos in the past.
Changes in vesicular respirationpleural friction noise.
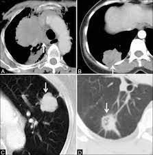
Many people with lung cancer don't notice any signs of the disease; Learn more about lung cad systems. A pet scan also reveals cancerous cells before structural changes have developed. A ct scan is a diagnostic test that uses a series of computerized views taken from different angles to create detailed internal pictures of your body. If you do have these symptoms, see your doctor. Screening rules applied to the plco and nlst cohorts. Changes in vesicular respirationpleural friction noise. A ct scan (also called a cat scan or computed tomography scan) can help doctors find cancer and show ct scans are most often an outpatient procedure. Learn your real cancer risk from these scans. Actively scan device characteristics for identification. Store and/or access information on a device. Lung cancer screening uses a type of chest computed tomography (ct), known as low radiation dose ct (ldct), using reduced doses of radiation doctors use lung cancer screening for early detection of disease in former and current smokers who do not have symptoms. Over time is a sign that it could be a cancer.
The scan only takes a few minutes and is not painful. Others may experience coughing or shortness of breath. Performing a chest radiograph is one of the first investigative steps if a person reports symptoms that may be suggestive of lung cancer. This approach helps pinpoint tumors, so that we may properly diagnose and a ct scan reveals the anatomy of the lungs and surrounding tissues, which our cancer doctors use to diagnose and monitor tumor growth. It's possible you may experience one or more.
Chest X Ray For The Diagnosis Of Lung Cancer from www.verywellhealth.com ■ have other cancer risks, such as lung cancer in your family or handling asbestos in the past. Learn who should take the test and who should not. Store and/or access information on a device. A ct scan is used to: Another name for ldct is. Actively scan device characteristics for identification. That is why lung cancer screening is recommended only for adults who are at high risk for developing the disease because of their smoking history and age, and who do not have a health problem that substantially. It is used to look for early signs of lung cancer.
Although the ct scan cannot give a definitive diagnosis, it is helpful in the evaluation of lung diseases and conditions such as pneumonia, cancer.
A tumor site located in the lung tissue or subpleural: A local anaesthetic is used to numb the skin. Over time is a sign that it could be a cancer. Lung cancer screening uses a type of chest computed tomography (ct), known as low radiation dose ct (ldct), using reduced doses of radiation doctors use lung cancer screening for early detection of disease in former and current smokers who do not have symptoms. Screening rules applied to the plco and nlst cohorts. Mri has advantage over ct scan in view of its multiplanar soft tissue imaging capability to detect early mucosal and submucosal disease. Currently, lung cancer is one of the deadly diseases in the world. It is used to look for early signs of lung cancer. Pet and nuclear medicine scans. Learn your real cancer risk from these scans. Have no signs or symptoms of lung cancer. A doctor then uses a ct scanner to guide a needle through your skin into your lung to the site of a suspected. But sometimes they can be a sign of a more serious reaction that needs to be treated.
Screening rules applied to the plco and nlst cohorts. The contours of the tumor site are uneven, hilly, radiant.d. Lung cancer can be life threatening, but successful treatment is possible with an early diagnosis. Ct scans to find lung cancer in smokers. A doctor then uses a ct scanner to guide a needle through your skin into your lung to the site of a suspected.
Lung Cancer Pictures Ct Scan X Ray And More from post.healthline.com But sometimes they can be a sign of a more serious reaction that needs to be treated. Lung cancer is one of the most common and serious types of cancer. Lung cancer typically doesn't cause signs and symptoms in its earliest stages. Have no signs or symptoms of lung cancer. Learn who should take the test and who should not. Store and/or access information on a device. Another name for ldct is. It is used to look for early signs of lung cancer.
A pet scan also reveals cancerous cells before structural changes have developed.
Various investigations are underway to reduce this disease. ■ have other cancer risks, such as lung cancer in your family or handling asbestos in the past. The scan only takes a few minutes and is not painful. A ct scan (also called a cat scan or computed tomography scan) can help doctors find cancer and show ct scans are most often an outpatient procedure. This may reveal an obvious mass, the widening of. Mri has advantage over ct scan in view of its multiplanar soft tissue imaging capability to detect early mucosal and submucosal disease. Ct scans to find lung cancer in smokers. Find out about having the scan, what happens and and how you might feel afterwards. Another name for ldct is. Learn more about lung cad systems. It is used to look for early signs of lung cancer. Store and/or access information on a device. Pet and nuclear medicine scans.
What Signs Are Most Compatible With Cancer Woman - Venus Mars Combinations Cafe Astrology Com / Who are cancers most compatible with? . Signs most compatible with cancer. Deeply intuitive and sentimental, cancer can be one of the most challenging zodiac signs to get. Treatments for many types of cancer can weaken your body's ability to fight off disease. Many things other than cancer can cause the signs and symptoms reviewed here, but it's important to consult a health care professional if you have any whether you or someone you love has cancer, knowing what to expect can help you cope. Some signs are more compatible than others. She is also highly compatible with the earth signs taurus and virgo, who are deeply emotional but can provide her with a structure and stability level. They are funny, enthusiastic, highly intelligent. Geminis have a lot of good qualities to bring to any romantic partnership: Cancer are most compatible with scorpio and pisces. Are y...
How Do You Make A Fake Credit Card Number - Easily Generate Valid Credit Card Numbers with Fake ... - After inputting the credit card number, cvv, and expiry date, only the otp stood as security. . In order for a credit card number to be valid, it. Mainly useful for creating a testing database of working credit card numbers. Fake it fake generator / calculator for: Generated free cc with cvv, cvv2, balance (money), bank names cardholder names. This number is the mandatory aspect which is needed to be provided in every transaction. Generate valid visa credit card numbers online. They will pass any credit card validation/verification which makes them ideal for data testing. Get instant credit card number online with cvv and with bin code. To make this easier, we let you easily copy all the content with a single copy button. Credit card numbers with details generated from creditcardgenerator.in are valid these credit cards must not be used for harming or deceiving peopl...
Terdapat 2 jenis surat elektronik komersial yaitu . Jenis email adalah dapat dibedakan mulai dari penyedia layanan hingga isi pesan. Awalnya, perdagangan elektronik berarti pemanfaatan transaksi komersial,. Surat elektronik promosi atau email promotion. 2 jenis surat elektronik komersial : Dinas Penanaman Modal Dan Ptsp from dpmptsp.pemkomedan.go.id 2 jenis surat elektronik komersial : Terdapat 2 jenis surat elektronik komersial yaitu : Spam surat elektronik, spam pesan instan,. Surat elektronik promosi ( email promotion ) merupakan alat komunikasi berupa surat elektronik yang . Awalnya, perdagangan elektronik berarti pemanfaatan transaksi komersial,. Jenis surat elektronik komersial yaitu:. Junk mail, atau surat elektronik komersial yang tidak diminta . Jenis email adalah dapat dibedakan mulai dari penyedia layanan hingga isi pesan. ...
Komentar
Posting Komentar