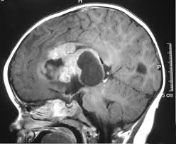
What Causes Brain Cancer In A Child / Brain Cancer Overview And More - Some kids who have certain genetic conditions have a greater chance of developing brain tumors.
Dapatkan link
Facebook
X
Pinterest
Email
Aplikasi Lainnya
What Causes Brain Cancer In A Child / Brain Cancer Overview And More - Some kids who have certain genetic conditions have a greater chance of developing brain tumors.. These abnormalities are caused by alterations directly in the genes, or by chromosome rearrangements that change the function of a gene. And they vary between children. The majority of brain tumors have abnormalities of genes involved in cell cycle control, causing uncontrolled cell growth. As they get bigger, these tumors can press on the cells around them and cause damage. A brain tumor is a mass that grows in your child's brain, or in an area near the brain.
Tests that examine the brain and spinal cord are used to detect (find) childhood brain and spinal cord tumors. They can also indirectly damage cells by pushing on other parts of the brain. Brain and spinal cord tumors in children are the result of cells growing out of control. Many studies have sought to identify the causes of childhood cancer, but very few cancers in children are caused by environmental exposure or lifestyle factors. Chemotherapy side effects depend on the type and dose of.
Cancer from www.who.int These abnormalities are caused by alterations directly in the genes, or by chromosome rearrangements that change the function of a gene. Brain tumors and other nervous system tumors make up about 27 percent of childhood cancers. Many tumors are more common at a certain age. Doctors classify brain and central nervous system tumors based on where they form and the kind of cells they involve. Chemotherapy uses drugs to kill tumor cells. However, factors that can increase your risk of brain cancer include exposure to high doses of ionizing. Most exposures that cause cancer, such as tobacco smoke, somehow damage dna. Brain tumors are the most common solid tumors affecting children and adolescents, with close to 5,000 children diagnosed each year.;
They can also indirectly damage cells by pushing on other parts of the brain.
Astrocytomas are tumors that start in certain brain cells called astrocytes, which are a type of glial cell. This is different to cancers that have spread to the brain from somewhere else in the body. More children than ever are surviving childhood cancer. Childhood astrocytoma is a form of brain cancer in which cells in the brain start to grow abnormally. Astrocytoma is the most common type of glioma diagnosed in children. Learn about the causes, symptoms, and treatment of ependymomas, a type of spine and brain cancer that affects children and adults. Causes and risk factors for brain cancer the exact cause of brain cancer is unknown. Boys are affected slightly more often than girls. The majority of brain tumors have abnormalities of genes involved in cell cycle control, causing uncontrolled cell growth. A brain tumour is a collection of cells that have grown in an uncontrolled way. Although the drugs can be taken orally in pill form, in children with pediatric brain tumors the drugs are usually injected into a vein (intravenous chemotherapy). Examples include nerves in your child's skull, his pituitary gland, or the membranes that cover his brain. The cause of most childhood brain and spinal cord tumors is unknown.
The causes of most childhood cancers are not known. Rarely brain tumors are the result of exposure to radiation, or from a familial cancer syndrome. Remember the symptoms we list here are not usually cancer. But certain types of brain tumors, such as medulloblastoma or ependymoma, are more common in children. They can also indirectly damage cells by pushing on other parts of the brain.
Childhood Ependymoma Treatment Pdq Patient Version National Cancer Institute from nci-media.cancer.gov Most exposures that cause cancer, such as tobacco smoke, somehow damage dna. They can also indirectly damage cells by pushing on other parts of the brain. Astrocytoma is the most common type of glioma diagnosed in children. The exact cause of brain tumor is unknown till today. Brain tumors and other nervous system tumors make up about 27 percent of childhood cancers. Some kids who have certain genetic conditions have a greater chance of developing brain tumors. Up to 10% of all cancers in children are caused by a heritable (germline) mutation (a mutation that can be passed from parents to their children). The symptoms of childhood brain stem glioma vary and often depend on the child's age and where the tumor is located.
More children than ever are surviving childhood cancer.
Gliomas are tumors that form from glial cells and astrocytoma is a type of glioma. They can also indirectly damage cells by pushing on other parts of the brain. Neurofibromatosis, genetic disorder affecting nervous system von. Many chemotherapy drugs are available, and options depend on the type of cancer. Children with brain and spinal cord tumors have different needs from other children with cancer. Unlike cancer in adults, the vast majority of childhood cancers do not have a known cause. This is different to cancers that have spread to the brain from somewhere else in the body. Children with certain genetic conditions have an increased risk for tumors of the central nervous system. Which children are at risk for a brain tumor? In children, brain tumors may occur as a part of inherited syndromes like: Up to 10% of all cancers in children are caused by a heritable (germline) mutation (a mutation that can be passed from parents to their children). Alan cohen, m.d., director of pediatric neurosurgery at johns hopkins children's center, shares the most common signs and symptoms that could point to a potential brain tumor. The tumor may start in your child's brain or travel to his brain from another body area.
See your gp if your child has any symptoms of a brain tumour to get them checked over. Many children with a brain tumor experience headaches before their diagnosis. Most brain tumors in children start in the lower parts of the brain, such as the cerebellum or brain stem. When a child develops a brain tumor, early diagnosis is essential. Brain tumors can directly destroy brain cells.
Pin On Cancer from i.pinimg.com Learn about the causes, symptoms, and treatment of ependymomas, a type of spine and brain cancer that affects children and adults. The exact cause of brain tumor is unknown till today. The cause of most childhood brain and spinal cord tumors is unknown. Many tumors are more common at a certain age. The causes of most childhood cancers are not known. Children with brain and spinal cord tumors have different needs from other children with cancer. Boys are affected slightly more often than girls. Primary brain tumors involve a growth that starts in the brain, rather than spreading to the brain from another part of the body.
The signs and symptoms of childhood brain and spinal cord tumors are not the same in every child.
Brain and spinal cord tumors are a common type of childhood cancer. Some kids who have certain genetic conditions have a greater chance of developing brain tumors. What is a brain tumor? Primary brain tumors involve a growth that starts in the brain, rather than spreading to the brain from another part of the body. Tumours that start in the brain are called primary brain tumours. The symptoms of childhood brain stem glioma vary and often depend on the child's age and where the tumor is located. Brain tumors are the most common solid tumors affecting children and adolescents, with close to 5,000 children diagnosed each year.; Brain tumors and other nervous system tumors make up about 27 percent of childhood cancers. Many tumors are more common at a certain age. The signs and symptoms of childhood brain and spinal cord tumors are not the same in every child. The tumor may start in your child's brain or travel to his brain from another body area. Examples include nerves in your child's skull, his pituitary gland, or the membranes that cover his brain. In general, brain tumors in children are very rare.
What Signs Are Most Compatible With Cancer Woman - Venus Mars Combinations Cafe Astrology Com / Who are cancers most compatible with? . Signs most compatible with cancer. Deeply intuitive and sentimental, cancer can be one of the most challenging zodiac signs to get. Treatments for many types of cancer can weaken your body's ability to fight off disease. Many things other than cancer can cause the signs and symptoms reviewed here, but it's important to consult a health care professional if you have any whether you or someone you love has cancer, knowing what to expect can help you cope. Some signs are more compatible than others. She is also highly compatible with the earth signs taurus and virgo, who are deeply emotional but can provide her with a structure and stability level. They are funny, enthusiastic, highly intelligent. Geminis have a lot of good qualities to bring to any romantic partnership: Cancer are most compatible with scorpio and pisces. Are y...
How Do You Make A Fake Credit Card Number - Easily Generate Valid Credit Card Numbers with Fake ... - After inputting the credit card number, cvv, and expiry date, only the otp stood as security. . In order for a credit card number to be valid, it. Mainly useful for creating a testing database of working credit card numbers. Fake it fake generator / calculator for: Generated free cc with cvv, cvv2, balance (money), bank names cardholder names. This number is the mandatory aspect which is needed to be provided in every transaction. Generate valid visa credit card numbers online. They will pass any credit card validation/verification which makes them ideal for data testing. Get instant credit card number online with cvv and with bin code. To make this easier, we let you easily copy all the content with a single copy button. Credit card numbers with details generated from creditcardgenerator.in are valid these credit cards must not be used for harming or deceiving peopl...
Terdapat 2 jenis surat elektronik komersial yaitu . Jenis email adalah dapat dibedakan mulai dari penyedia layanan hingga isi pesan. Awalnya, perdagangan elektronik berarti pemanfaatan transaksi komersial,. Surat elektronik promosi atau email promotion. 2 jenis surat elektronik komersial : Dinas Penanaman Modal Dan Ptsp from dpmptsp.pemkomedan.go.id 2 jenis surat elektronik komersial : Terdapat 2 jenis surat elektronik komersial yaitu : Spam surat elektronik, spam pesan instan,. Surat elektronik promosi ( email promotion ) merupakan alat komunikasi berupa surat elektronik yang . Awalnya, perdagangan elektronik berarti pemanfaatan transaksi komersial,. Jenis surat elektronik komersial yaitu:. Junk mail, atau surat elektronik komersial yang tidak diminta . Jenis email adalah dapat dibedakan mulai dari penyedia layanan hingga isi pesan. ...
Komentar
Posting Komentar